Tese aprofunda estudos científicos sobre a tripanossomose bovina

O médico veterinário Thiago Souza Azeredo Bastos, defendeu em 2018 sua tese de doutorado e o tema foi a Tripanossomose Bovina.

Publicado por: MilkPoint

Publicado em: - 2 minutos de leitura

Ícone para ver comentários 0
Ícone para curtir artigo 0

O médico veterinário Thiago Souza Azeredo Bastos defendeu em 2018 sua tese de doutorado com o tema Tripanossomose Bovina. Essa doença tem origem na África, é causada pelo protozoário do gênero Trypanosoma e é transmitida lá, pela mosca Tsé Tsé. Ela acomete bubalinos e bovinos e entrou no Brasil através de búfalos que foram alojados no Estado do Pará. Alguns desses animais foram para o Mato Grosso, contaminaram bovinos em diversas fazendas afetando posteriormente Goiás e outros Estados da Federação, segundo as pesquisas.

Figura 1
Thiago Bastos (de óculos), o pesquisador

A tripanossomose é transmitida no Brasil através da mosca Mutuca, muito conhecida principalmente na região de cerrado. Esse inseto é apenas o vetor, diferentemente da Tsé Tsé. O uso de seringas e agulhas nas aplicações de medicamento, vacinas e outros produtos químicos é também uma grande fonte de transmissão.

Continua depois da publicidade

Segundo Thiago Bastos, quando iniciou suas pesquisas – também com a ajuda de dezenas de alunos de Veterinária da UFG – só em Goiás cerca de 40 fazendas tinham animais com tripanossomose. Ele calcula que atualmente, dezenas de outras estão com esse problema que ultrapassou fronteiras atingindo vários Estados da Federação.

A situação mais grave é que essa doença não é ainda classificada pelo Ministério da Agricultura como de notificação obrigatória, ou seja, aquela que, ao ser detectada, deve ser comunicada imediatamente ao órgão do Estado que cuida da qualidade sanitária dos rebanhos. Assim, bovinos contaminados estão transitando livremente a doença pelo Estado e outras regiões.

Quanto à cura, Thiago Bastos informou que ainda não foi alcançada definitivamente. Existem alguns medicamentos que contem o avanço da doença, segundo Thiago Bastos. Os animais doentes apresentam anemia, podendo vir a óbito e a doença acomete principalmente a produção de leite. Contudo, se medicados corretamente no início e com manejo correto, as perdas são insignificantes. Uma necessidade urgente é a criação de melhor estrutura de laboratórios para detecção da doença.

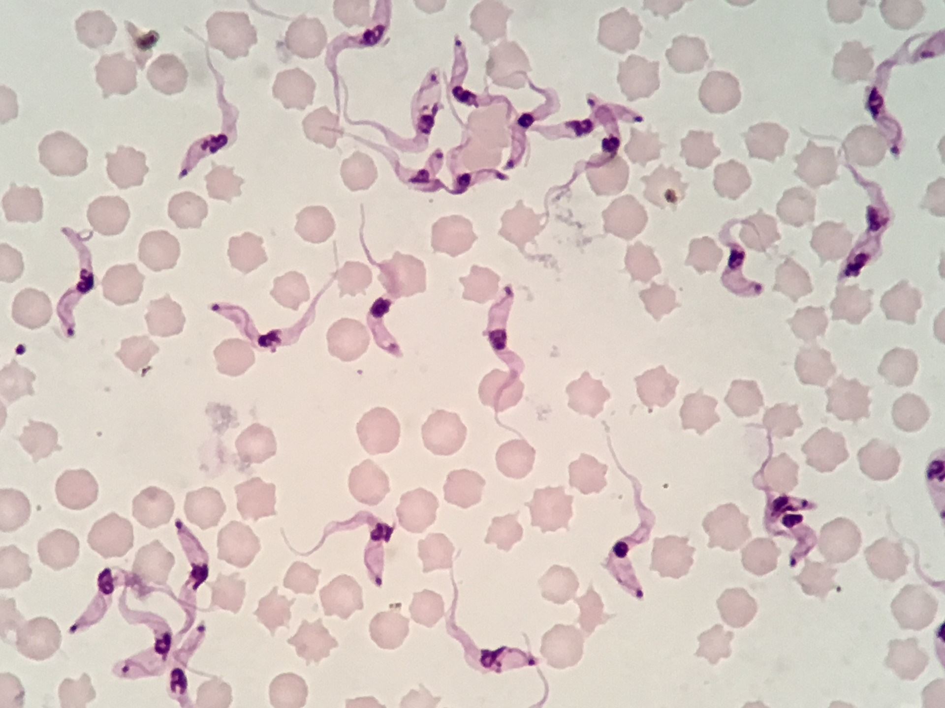
Figura 2
Protozoários do gênero Trypanosoma

As descobertas em Goiás já foram publicadas em três revistas internacionais de ciências veterinárias: Parasitology, Preventive Veterinary Medicine e Experimental Parasitology. Os estudos de Thiago já fazem parte de várias grades escolares de Cursos de Veterinária e sua tese foi escolhida pela própria UFG, para concorrer ao Prêmio Nacional de Melhor Tese do Brasil, junto à CAPES, Fundação ligada ao Ministério da Educação.

Todo o trabalho de Doutorado de Thiago Bastos foi patrocinado pelo Fundo para o Desenvolvimento da Pecuária em Goiás – Fundepec. Essa entidade é a maior do Brasil. Trata-se de um Fundo Emergencial Indenizatório criado e mantido pelos pecuaristas goianos, cujo objetivo é ressarcir produtores que tiverem seus animais abatidos pela vigilância sanitária se acometidos por doenças de notificação obrigatória, entre elas a febre aftosa.

As informações são da Imprensa Fundepec-Goiás.

Ícone para ver comentários 0
Ícone para curtir artigo 0

Publicado por:

Foto MilkPoint

MilkPoint

O MilkPoint é maior portal sobre mercado lácteo do Brasil. Especialista em informações do agronegócio, cadeia leiteira, indústria de laticínios e outros.

Deixe sua opinião!

Foto do usuário

Todos os comentários são moderados pela equipe MilkPoint, e as opiniões aqui expressas são de responsabilidade exclusiva dos leitores. Contamos com sua colaboração.

Qual a sua dúvida hoje?